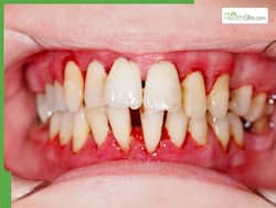
Have Bleeding Gums and Pus? Dentists Warn It Could Be a Sign of Periodontitis
Bleeding gums or pus near your teeth may be early signs of periodontitis. Learn the symptoms, risks, diagnosis steps, and expert advice to protect your teeth and overall oral health.



)

































