Add The Health Site as a
Preferred Source
Add The Health Site as a Preferred Source

Dental Veneers: An Option For A Better Smile

Before opting for dental veneers, it is important to have a discussion with your dentist to understand the pros and cons.

Dental Veneers: An Option For A Better Smile

Written by Editorial Team |Updated : December 16, 2021 6:31 PM IST

Smiling is one of the most effective ways of non-verbal communications we have. Everyone should be able to smile and laugh freely whenever want to. But sometimes, it may not be the case if they are conscious about the appearance of their teeth. Their teeth could be misaligned, forwardly placed, discoloured, decayed, or broken due to various reasons. This could make people feel self-conscious and effect the way they interact with others. Their confidence could take a major hit. To prevent this, dentistry has a solution that can give their smile a makeover- Dental Veneers

What are dental veneers?

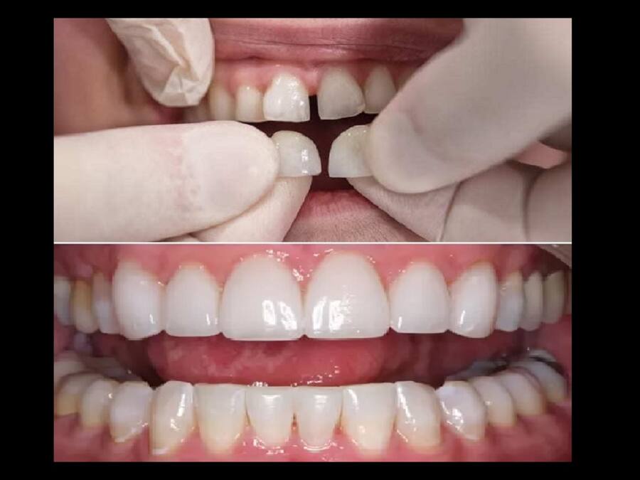
Dental veneers are considered one stop solution for most of such patient's agony. Veneer as the name suggests, is replacing the top layer of the faulty tooth structure with perfectly matching dental material that is adhered. These veneers may be combined with other tooth preparations as the situation demands.

Types: Composite, Ceramic and Lumineers

Also Read

More News

There are basically two types of Veneers. Composite Veneer and Ceramic Veneer. Composite Veneers are sculpted on the tooth, dental chairside, they are also called direct Veneers. Ceramic Veneers are fabricated in the dental laboratory on the replica of patient's teeth and are also called indirect veneers.

There are also "Lumineers" (a brand of veneers) that are fabricated with minimum or no tooth preparation. These are thinner than traditional veneers and appear more natural.

However, what kind of veneer is suitable for you requires a discussion with your dentist as different veneers have different indications and contraindications. Limitations of preparing veneers on teeth may be decided by the size, shape of teeth, bite relation or occlusion, habits like bruxism (condition where you grind or clench your teeth) and patient's oral hygiene maintenance.

In what situations can dental veneers be used?

Veneers are helpful in many clinical problems like

  • Discolouration of teeth. Your teeth may get discoloured due to excessive fluoride, stains from drugs, discolouration due to root canal treatments, and other causes like smoking or Chewing Pan/ghutka
  • When the teeth are chipped, broken or worn down.
  • When teeth are irregularly shaped or misaligned (this can cause speech problems as well).
  • Gaps between teeth.

Benefits of veneers

Small cosmetic problems can be easily fixed: Chips, cracks, gaps, etc. can easily be rectified using veneers. In case a patient does not prefer doing orthodontic treatment, veneers could be a good alternative. However, it should be noted that veneers cannot always replace actual treatment.

Helps to solve enamel damage: If you have damaged enamel then it is concerning as enamel does not grow back. Enamel could get damaged due to different reasons like aggressive brushing of teeth, consuming highly acidic foods or drinks, having acid reflux, etc. However, dental veneers are an excellent alternative for people with damaged enamel

They appear natural: Since dentists can create dental veneers that matches the shade of a person's teeth, they look quite natural.

Importance of post treatment care

Post treatment care plays a very crucial role in the success of dental veneers. Adhesive technology in dentistry has revolutionized leading to 80-90 per cent of success. Patients are advised not to misuse their front teeth with habits like biting on pen/pencil, nail biting or opening a sealed plastic pouch. Maintenance of basic oral hygiene increases the longevity of the restorations. Periodic dental check-up is mandatory.

Disadvantages of veneers

Any dental restoration can have its disadvantages, veneers are no different. The treatment is irreversible. Since a layer of enamel is removed to fix veneers, the teeth could become sensitive. Also, if the dental damage is too bad, veneers may not be of much use, in such cases proper dental treatment like bridges or crowns may be better. It is important to have a discussion with your dentist before opting for veneers, understand the pros and cons.

However, it cannot be denied that dental veneers are a boon to people who feel self-conscious about their teeth or their smile. The procedure is pretty straight-forward, involves less time and minimal pain. They are a simple solution to multiple problems. Since enhancing a smile is a want-based treatment, it goes without saying that basic dental ethics should be practised as a service to humanity and for the betterment of the society.

Add The HealthSite as a Preferred Source Add The Health Site as a Preferred Source

The article is authored by Dr Shashi Rashmi Acharya, Professor, Conservative Dentistry and Endodontics, Manipal College of Dental Sciences, Manipal Academy of Higher Education, Manipal.